研究・業績
腫瘍病理学分野の研究
腫瘍病理学分野では、腫瘍の観点から疾病の発生機序を明らかにし、治療に寄与する研究を目指しています。患者さんの疾病を治癒に導く鍵は、患者さんの組織の中にあると考え、研究をすすめています。病理組織の組織形態と分子病理学的情報とを統合させ、腫瘍の発生機序、進展過程、腫瘍内多様性を明らかにする過程で、バイオマーカーとなりえる情報を探索しています。現在、腫瘍を理解するためには、遺伝情報、感染性微生物、代謝など複合的知識の統合化が必要であり、腫瘍に限定せず多方面の疾患にも興味を保持しています。臨床各科、多施設との共同研究も積極的に行っています。
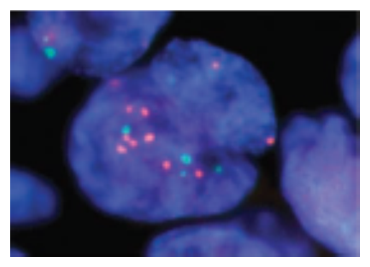
病理組織内蛋白・遺伝子の可視化
Med Mol Morphol.
2016 Mar;49(1):11-21
E2F5遺伝子増幅
Br J Cancer, 100: 764-771, 2009
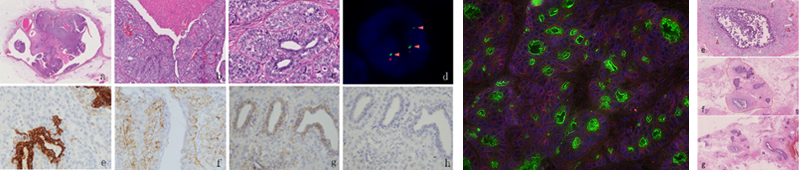
病理組織切片内細胞からの蛋白・遺伝子抽出
Microdissection
Acta Histochem Cytochem.
2013 Apr 30;46(2):85-96.
臨床的意義の検討
Med Mol Morphol.
2015 Dec 24.
業績(英文のみ抜粋)
2025
l Abe H, Okamura Y, Yoshida N, Mitsuka Y, Aramaki O, Moriguchi M, Nakamura M, Kogure H, Okada M, Ohni S, Masuda S. Impact of Sustained Virological Response on Long-Term Outcomes After Curative Resection in Patients with Hepatitis C Virus-Related Hepatocellular Carcinoma in the Era of Direct-Acting Antiviral Therapy. Ann Surg Oncol. 32(2):1093-1104, 2025.
2024
l Sakatani T, Tsuda H, Yoshida M, Honma N, Masuda S, Osako T, Hayashi A, Jara-Lazaro AR, Horii R. Current status and challenges in HER2 IHC assessment: scoring survey results in Japan. Breast Cancer Res Treat. 210(1):27-36, 2024.
l Nozaki F, Nakanishi Y, Tanino T, Ochi T, In R, Kajiura Y, Kida K, Takei J, Yoshida A, Kanomata N, Kitano A, Yamauchi H, Masuda S. Breast cancer during pregnancy of Luminal A type overexpressed CXCL13. Pathol Int. 74(10):592-603, 2024.
l Ishibashi N, Nakanishi Y, Maebayashi T, Miura K, Ohni S, Masuda S, Amano Y, Okada M. Next-generation sequencing of primary testicular lymphoma and relapse in the glans penis after prophylactic radiation therapy: a rare case report. Diagn Pathol. 2024 Jun 3;19(1):72.
l Yoshizawa T, Nakanishi Y, Obinata D, Yamaguchi K, Masuda S, Takahashi S. AKR1C3-negative high-risk metastatic castration-sensitive prostate cancer has long-term response to first-line treatment with abiraterone: Four case reports. Urol Case Rep. 2024 Apr 3;54:102727.
l Suzuki T, Nakanishi Y, Tanino T, Nishimaki-Watanabe H, Kobayashi H, Ohni S, Tang X, Hakamada K, Masuda S. Immunohistochemical and molecular profiles of heterogeneous components of metaplastic breast cancer: a squamous cell carcinomatous component was distinct from a spindle cell carcinomatous component. Discov Oncol. 2024 Apr 2;15(1):95. doi: 10.1007/s12672-024-00950-0.
l Ishibashi N, Nakanishi Y, Maebayashi T, Miura K, Ohni S, Masuda S, Amano Y, Okada M. Next-generation sequencing of primary testicular lymphoma and relapse in the glans penis after prophylactic radiation therapy: a rare case report. Diagn Pathol. 2024 Jun 3;19(1):72. doi: 10.1186/s13000-024-01498-x.
l Ohishi Y, Nakanishi Y, Hirotani Y, Suzuki A, Tanino T, Nishimaki-Watanabe
H, Kobayashi H, Nozaki F, Ohni S, Tang X, Hayashi K, Nakagawa Y, Shimizu
T, Tsujino I, Takahashi N, Gon Y, Masuda S. Different effects of crizotinib
treatment in two non-small cell lung cancer patients with SDC4::ROS1 fusion
variants. Thorac Cancer. 2024 Jan;15(1):89-93. doi: 10.1111/1759-7714.15168.
2023
l Enomonoto K, Hara Y, Dobashi K, Masuda S, Tada K:A patient with breast fbroadenoma accompanied by carcinoma: early detection by screening. Journal of Medical Ultrasonics 50(1):111-112, 2023.
l Nakanishi Y, Iwai M, Hirotani Y, Kato R, Tanino T, Nishimaki-watanabe H, Nozaki F, Ohni S, Tang X, Masuda S, Sasaki-fukatsu K: Correlations between class I glucose transporter expression patterns and clinical outcomes in non-small cell lung cancer. Thorac Cancer. 14:2761-2769, 2023.
l Masuda S, Nakanishi Y: Application of Immunohistochemistry in Clinical Practices as a Standardized Assay for Breast Cancer. Acta Histochem. Cytochem. 56(1): 1-8, 2023.
l Shimizu H, Kochi M, Fujii M, Watabe M, Matsuno Y, Kawai T, Suda H, Tanino T, Nakanishi Y, Masuda S, Okamura Y: Human epidermal growth factor 2 overexpressed alpha‑fetoprotein‑producing‑gastric cancer. Discover Oncology 14: 111, 2023.
l Kawachi K, Tang X, Kasajima R, Yamanaka T, Shimizu E, Katayama K, Yamaguchi U, Yokoyama K, Yamaguchi K, Furukawa Y, Miyano S, Imoto S, Yoshioka E, Washimi K, Okubo Y, Sato S, Yokose T, Miyagi Y: Genetic analysis of low‑grade adenosquamous carcinoma of the breast progressing to high‑grade metaplastic carcinoma. Breast Cancer Research and Treatment 202: 563-573, 2023.
2022
l Yagasaki H, Hirai M, Kanezawa K, Ueno M, Hao H, Masuda S, Sugitani M, Morioka I:Successful treatment for diffuse large B‑cell lymphoma in a Japanese adolescent with PIK3CD germ‑line mutation: stem cell transplantation after reduced‑intensity conditioning. Annals of Hematology 101: 1617-1619, 2022.
l Nishimaki H, Nakanishi Y, Yagasaki H, Masuda S: Multiple Immunofluorescence Imaging Analysis Reveals Differential Expression of Disialogangliosides GD3 and GD2 in Neuroblastomas. Pediatric and Developmental Pathology 25(2):141-154, 2022.
l Ohni S, Yamaguchi H, Hirotani Y, Nakanishi Y, Midorikawa Y, Sugitani M, Naruse H, Nakayama T, Makishima M, Esumi M: Direct molecular evidence for both multicentric and monoclonal carcinogenesis followed by transdifferentiation from hepatocellular carcinoma to cholangiocarcinoma in a case of metachronous liver cancer. Oncology Letters 23(1): 22, 2022.
l Takahashi H, Nishimaki H, Nakanishi Y, Hamada T, Nakagawa M, Iizauka K, Uchino Y, Iriyama N, Miura K, Nakayama T, Masuda S, Hatta Y, Nakamura H: Clinical impact of central nervous system-directed therapies on intravascular large B-cell lymphoma: A single institution’s experience. European Journal of Haematology 3: 467-470, 2022.
l Iwamoto M, Kato K, Kusumi Y, Masuda S, Nakayama T, Moriyama M: Celiac Disease Diagnosed after Gastrectomy for Gastric Cancer. Internal Medicine 61: 323-328, 2022.
l Iida Y, Nakanishi Y, Shimizu T, Nomoto M, Nakagawa Y, Ito R, Takahashi N, Masuda S, Gon Y: Comprehensive genetic analysis of histological components ofcombined small cell carcinoma. Thorac Cancer 13: 2362-2370, 2022.
2021
l Masuda S, Suzuki R, Kitano Y, Nishimaki H, Kobayashi H, Nakanishi Y, Yokoi H: Tissue Thickness Interferes With the Estimation of the Immunohistochemical Intensity: Introduction of a Control System for Managing Tissue Thickness. Applied Immunohistochemistry & Molecular Morphology 29: 118-126, 2021.
l Koguchi O, Nishimaki H, Nakanishi Y, Kobayashi H, Ohni S, Tang X, Kusumi Y, Masuda S: Altered Immunohistochemical Expression Patterns of HLA Class I during the Clinical Course of Cervical Intraepithelial Neoplasia. Acta Histochemica et Cytochemica 54(2): 57-64, 2021.
l Iida Y, Gon Y, Nakanishi Y, Kurosawa Y, Nakagawa Y, Mizumura K, Shimizu T, Takahashi N, Masuda S: Genomic analysis between idiopathic pulmonary fibrosis and associated lung cancer using laser-assisted microdissection: A case report. Thoracic Cancer 12(9): 1499-1452, 2021.
l Watanabe S, Abe Y, Tokunaga W, Kato M, Komori A, Kobayashi H, Nishimaki H, Masuda S, Morioka I: Pericarditis as an initial manifestation of Sjögren syndrome in a child A case report. Medicine Case Reports and Study Protocols. 2(1): e0031, 2021.se of Cervical Intraepithelial Neoplasia. Acta Histochemica et Cytochemica 54(2): 57-64, 2021.
l Kobayashi H, Nakai T, Nakanishi Y, Esumi M, Masuda S: Phylogenetic analysis of combined lobular and ductal carcinoma of the breast. Moleculara Medicine repots 24: 718, 2021.
l Tang X, Nakanishi Y, Kobayashi H, Nishimaki H, Kusumi Y, Miyagi Y, Masuda S: Mixed ductal-lobular carcinoma: an analysis of CDH1 DNA copy number variation and mutation. Breast Cancer 28:1318-1327, 2021.
2020
l Amano Y, Sakaguchi-Tamba M, Sasaki Y, Oshiro H, Fukushima N, Fujita T, Masuda S, Niki T: Adenomyoepithelioma with a human epidermal growth factor receptor 2-fluorescence in situ hybridization-confirmed ductal carcinoma in situ component A case report and review of the literature. Medicine 99(4): e22665, 2020.
l Tsuda H, Tsugawa K, Akiyama F, Horii R, Kurosumi M, Moriya T, Takano T, Takei H, Nakayaa T, Miyagi Y, Yamauchi C, Yamashita T, Aogi K, Mukai H, Sugie T, Iwata H, Masuda S: Correction to Histoogical classification of breasta tumors in the General Rules for Clinical and Pathological Recording of Breast Cancer (18th edition). Breast Cancer 27(4): 792, 2020.
l Kawase K, Yamashita H, Iwase H, Akashi Tanaka S, Iijima K, Ishida T, Takeishi Y, Tanaka F, Doihara H, Nakano S, Yamauchi H, Masuda S: Current conditions and issues of physicians and working conditions at institutions accredited by the Japanese Breast Cancer Society. Breast Cancer 27(2):159-165, 2020.
l Horii R, Tsuda H, Masuda S, Sugita H, Togashi K, Hono S, Akiyama F: Performance analysis of the anti‑Ki67 antibody clone 30‑9 for immunohistochemical staining of breast cancer. Breast Cancer 27(6): 1058-1064, 2020.
l Ishibashi N, Nishimaki H, Maebayashi T, Adachi K, Sakurai K, Masuda S, Hata M, Okada M: Partial chest wall radiation therapy for positive or close surgical margins after modified radical mastectomy for breast cancer without lymph node metastasis. Asia-Pacific Journal of Clinical Oncology 16(1): 28-33, 2020.
l Inagaki Y, Wu D, Fujiwara K, Ishizuka Y, Ofuni A, Tokunaga T, Takayama T, Soma M, Fukuda N, Ozaki T, Masuda S: Knockdown of E2F5 induces cell death via the TP53‑dependent pathway in breast cancer cells carrying wild‑type TP53. Oncology Reports 44(5): 2241-2252, 2020.
2019
l Rakha EA, Allison KH, Ellis IO, Horii R, Masuda S, Penault-Llorca F, Tsuda H, Vincent-Salomon A. Invasive breast carcinoma: General overview. In the WHO Classification of Tumours Editorial Board (Eds.) The WHO Classification of Tumours・5th Edition Breast Tumours, World Health Organization, pp82-101, 2019.
l Rakha EA, Allison KH, Bu H, Ellis IO, Forchini MP, Horii R, Masuda S, Penault-Llorca F, Schnitt SJ, Tsuda H, Vincent-Salomon A, Yang WT. Invasive breast carcinoma of no special type. In the WHO Classification of Tumours Editorial Board (Eds.) The WHO Classification of Tumours・5th Edition Breast Tumours, World Health Organization, pp102-109, 2019.
l Masuda S, Nitta H, Kelly BD, Zhang W, Farrell M, Dennis E: Intratumoral estrogen receptor heterogeneity of expression in human epidermal growth factor receptor 2-positive breast cancer as evaluated by abrightfield multiplex assay. Journal of Histochemistry and Cytochemistry. 2019 Aug; 67: 563-574.
l Nakanishi Y, Takahashi R, Haga T, Inoue N, Kondo Y, Masuda S, Gomi Y. Development of an Guideline-Based Decision Support System for Effective Diagnostic Workflow for Oncologic Pathologists. Stud Health Technol Inform. 2019 Aug; 264:1735-1736.
l Ashikari D, Tawara S, Sato K, Mochida J, Masuda S, Mukai K, Turcu A, Nishimoto K, Yamaguchi K, Takahashi S. Ectopic adrenal adenoma causing gross hematuria: Steroidogenicenzyme profiling and literature review. IJU Case Reports. 2019 May; 2(3): 158-161.
l Nakai T, Sakurada A, Endo T, Kobayashi H, Masuda S, Makishima M, Esumi M. Caution for simple sequence repeat number variation in the mitochondrial DNA D-loop to determine cancer-specific variants. Oncology Letters. 2019 Feb; 17(2): 1883-1888.
l Takamine Y, Yamamuro S, Sumi K, Ohta T, Shijo K, Nakanishi Y, Homma T, Yoshino A. A Case of Pleomorphic Xanthoastrocytoma with Intracranial Hemorrhage in a Child. NMC Case Report Journal. 2019 Jan; 6(1): 39-42.
l Ishibashi N, Nisimaki H, Maebayashi T, Hata M, Adachi K, Sakurai K, Masuda S, Okada M. Changes in the Ki-67 labeling index between primary breast cancer and metachronous metastatic axillary lymph node: A retrospective observational study. Thoracic Cancer. 2019 Jan; 10(1): 96-102.
l Ishibashi N, Sugaya S, Takahashi H, Nishimaki H, Nakanishi Y, Chinen Y, Maebayashi T. Conjunctival lymphomas in Japanese monozygotic twins: A case report. Oncology Letters. 2019 Jan; 17(1):1313-1319.
l Homma T, Hanashima Y, Maebayashi T, Nakanishi Y, Ishige T, Ohta T, Yoshino A, Hao H. Papillary glioblastoma exhibiting a neuroradiological cyst with a mural nodule: A case report. 2019 Jan; Medicine 98(2): e14102.
2018
l Masuda S. The development of Morphological and Molecular Approaches to Breast Cancer Risk Assessment. In Moriya T (Ed.) Development of Pathology of Female Cancers, Springer, pp.81-91, 2018.
l Iida Y, Masuda S, Nakanishi Y, Shimizu T, Nishimaki H, Takahashi M, Hikichi M, Maruoka S, Gon Y, Takahashi N, Hashimoto S. Clinicopathological characteristics of thyroid transcription factor 1-negative small cell lung cancers. Hum Pathol. 2018 Sep;79:127-134.
l Nakanishi Y, Nakagawa Y, Tsujino I, Shimizu T, Takahashi N, Hashimoto S, Masuda S. Favorable Outcome With Pemetrexed Treatment for Advanced BRAF-V600E-Positive Lung Adenocarcinoma in a Patient Followed up Over 8 Years. J Thorac Oncol. 2018 Oct;13(10):e199-e202.
l Morioka T, Niikura N, Kumaki N, Masuda S, Iwamoto T, Yokoyama K, Ogiya R, Oshitanai R, Terao M, Tsuda B, Okamura T, Saito Y, Suzuki Y, Tokuda Y. Comparison of Ki-67 labeling index measurements using digital image analysis and scoring by pathologists. Breast Cancer. 2018 Jun 29. doi: 10.1007/s12282-018-0885-1.
l Kochi M, Iwamoto T, Niikura N, Bianchini G, Masuda S, Mizoo T, Nogami T, Shien T, Motoki T, Taira N, Tokuda Y, Doihara H, Matsuoka J, Fujiwara T. Tumour-infiltrating lymphocytes (TILs)-related genomic signature predicts chemotherapy response in breast cancer. Breast Cancer Res Treat. 2018Jan;167(1):39-47. doi: 10.1007/s10549-017-4502-3.
l Yamaguchi T, Mukai H, Akiyama F, Arihiro K, Masuda S, Kurosumi M, Kodama Y, Horii R, Tsuda H. Inter-observer agreement among pathologists in grading the pathological response to neoadjuvant chemotherapy in breast cancer. Breast Cancer. 2018 Jan;25(1):118-125.
l Hirano D, Yoshida T, Funakoshi D, Sakurai F, Ohno S, Kusumi Y. A Case of Early Stage Bladder Carcinosarcoma in Late Recurrence of Urothelial Carcinoma after Transurethral Resection. Case Rep Urol. 2018 Jan 15;2018:1405108.
2017
l Nakanishi Y, Masuda S, Iida Y, Takahashi N, Hashimoto S. Case Report of Non-Small Cell Lung Cancer with STRN-ALK Translocation: A Nonresponder to Alectinib. J Thorac Oncol. 2017 Dec;12(12):e202-e204.
l Banks P, Brown R, Laslowski A, Daniels Y, Branton P, Carpenter J, Zarbo R, Forsyth R, Liu YH, Kohl S, Diebold J, Masuda S, Plummer T, Dennis E. A Proposed Set of Metrics to Reduce Patient Safety Risk From Within the Anatomic Pathology Laboratory. Lab Med. 2017 May 1;48(2):195-201.
l Adachi K, Sakurai K, Suzuki S, Kubota H, Hara Y, Abe K, Fujiwara A, Hirano T, Enomoto K, Masuda S, Makishima M, Koshinaga T. [Breast Cancer Occurring in the Axillary Area - A Case Report]. Gan To Kagaku Ryoho. 2017 Nov;44(12):1635-1637.
l Ishibashi N, Maebayashi T, Aizawa T, Sakaguchi M, Nishimaki H, Masuda S. Correlation between the Ki-67 proliferation index and response to radiation therapy in small cell lung cancer. Radiat Oncol. 2017 Jan 13;12(1):16.
l Kudo I, Esumi M, Kusumi Y, Furusaka T, Oshima T. Particular gene upregulation and p53 heterogeneous expression in TP53-mutated maxillary carcinoma. Oncol Lett. 2017 Oct;14(4):4633-4640.
l Hasegawa H, Kusumi Y, Asakawa T, Maeda M, Oinuma T, Furusaka T, Oshima T, Esumi M. Expression of von Hippel-Lindau tumor suppressor protein (pVHL) characteristic of tongue cancer and proliferative lesions in tongue epithelium. BMC Cancer. 2017 May 26;17(1):381.
l Yamamuro S, Homma T, Hanashima Y, Yoshimura S, Oshima H, Ohni S, Kusumi Y, Yoshino A. A case of symptomatic granular cell tumor of the sellar region with large calcification. Neuropathology. 2017 Aug;37(4):371-374.
l Homma T, Hemmi A, Ohta T, Kusumi Y, Yoshino A, Hao H. A rare case of a pineoblastoma with a rhabdomyoblastic component. Neuropathology. 2017 Jun;37(3):227-232.
2016
l Kinoshita T, Fukui N, Anan K, Iwamoto T, Niikura N, Kawai M, Hayashi N, Tsugawa K, Aogi K, Ishida T, Masuoka H, Masuda S, Iijima K, Nakamura S, Tokuda Y. Comprehensive prognostic report of the Japanese Breast Cancer Society Registry in 2004. Breast Cancer. 2016;23:39-49.
l Xu J, Tang X, Iida Y, Fuchinoue F, Kusumi T, Yagihashi N, Kawachi K, Shimizu S, Masuda S. Adenomyoepithelioma with carcinoma of the breast: A report of two cases and a review of the literature. Pathol Res Pract. 2016;212:130-4.
l Murakami E, Nakanishi Y, Hirotani Y, Ohni S, Tang X, Masuda S, Enomoto K, Sakurai K, Amano S, Yamada T, Nemoto N. Roles of Ras Homolog A in Invasive Ductal Breast Carcinoma. Acta Histochem Cytochem. 2016 Nov 1;49(5):131-140.
l Tang X, Yamashita T, Hara M, Kumaki N, Tokuda Y, Masuda S : Histopathological characteristics of breast ductal carcinoma in situ and association with imaging findings. Breast Cancer 23: 491-8, 2016.
l Kinoshita T, Fukui N, Anan K, Iwamoto T, Niikura N, Kawai M, Hayashi N, Tsugawa K, Aogi K, Ishida T, Masuoka H, Masuda S, Iijima K, Nakamura S, Tokuda Y: Comprehensive prognostic report of the Japanese Breast Cancer Society Registry in 2004. Breast Cancer 23:39-49, 2016.
l Anan K, Fukui N, Kinoshita T, Iwamoto T, Niikura N, Kawai M, Hayashi N, Tsugawa K, Aogi K, Ishida T, Masuoka H, Masuda S, Iijima K, Nakamura S, Tokuda Y: Comprehensive prognostic report of the Japanese Breast Cancer Society Registry in 2005. Breast Cancer 23: 50–61, 2016.
l Iwamoto T, Fukui N, Kinoshita T, Anan K, Niikura N, Kawai M, Hayashi N, Tsugawa K, Aogi K, Ishida T, Masuoka H, Masuda S, Iijima K, Nakamura S, Tokuda Y: Comprehensive prognostic report of the Japanese Breast Cancer Society registry in 2006. Breast Cancer 23: 62–72, 2016.
l Niikura N, Tomotaki A, Miyata H, Iwamoto T, Kawai M, Anan K, Hayashi N, Aogi K, Ishida T, Masuoka H, Iijima K, Masuda S, Tsugawa K, Kinoshita T, Nakamura S, Tokuda Y: Changes in tumor expression of HER2 and hormone receptors status after neoadjuvant chemotherapy in 21 755 patients from the Japanese breast cancer registry. Annals of Oncology 27:480-487, 2016.
l Kawai M, Tomotaki A, Miyata H, Iwamoto T, Niikura N, Anan K, Hayashi N, Aogi K, Ishida T, Masuoka H, Iijima K, Masuda S, Tsugawa K, Kinoshita T, Nakamura S, Tokuda Y: Body mass index and survival after diagnosis of invasive breast cancer: a study based on the Japanese National Clinical Database - Breast Cancer Registry. Cancer Medicine 5:1328-40, 2016.
l Iwamoto T, Kumamaru H, Miyata H, Tomotaki A, Niikura N, Kawai M, Anan K, Hayashi N, Masuda S, Tsugawa K, Aogi K, Ishida T, Masuoka H, Iijima K, Matsuoka J, Doihara H, Kinoshita T, Nakamura S, Tokuda Y: Distinct breast cancer characteristics between screen- and self-detected breast cancers recorded in the Japanese Breast Cancer Registry. Breast Cancer Research and Treatment 156: 485-94, 2016.
l Kataoka A, Iwamoto T, Tokunaga E, Tomotaki A, Kumamaru H, Miyata H, Niikura N, Kawai M, Anan K, Hayashi N, Masuda S, Tsugawa K, Aogi K, Ishida T, Masuoka H, Iijima K, Kinoshita T, Nakamura S, Tokuda Y : Young adult breast cancer patients have a poor prognosis independent of prognostic clinicopathological factors: a study from the Japanese Breast Cancer Registry. Breast Cancer Research and Treatment 160:163-172, 2016.
l Nozaki F, Hirotani Y, Nakanishi Y, Yamaguchi H, Nisimaki H, Noda H, Tang X, Yamamoto H, Suzuki A, Seki T, Masuda S : p62 Regulates the Proliferation of Molecular Apocrine Breast Cancer Cells. Acta Histochemica et Cytochemica 49 : 125–130, 2016.
2015
l Iwamoto T, Fukui N, Kinoshita T, Anan K, Niikura N, Kawai M, Hayashi N, Tsugawa K, Aogi K, Ishida T, Masuoka H, Masuda S, Iijima K, Nakamura S, Tokuda Y. Comprehensive prognostic report of the Japanese Breast Cancer Society registry in 2006. Breast Cancer. 2015. [Epub ahead of print]
l Anan K, Fukui N, Kinoshita T, Iwamoto T, Niikura N, Kawai M, Hayashi N, Tsugawa K, Aogi K, Ishida T, Masuoka H, Masuda S, Iijima K, Nakamura S, Tokuda Y. Comprehensive prognostic report of the Japanese Breast Cancer Society Registry in 2005. Breast Cancer. 2015. [Epub ahead of print]
l Niikura N, Tomotaki A, Miyata H, Iwamoto T, Kawai M, Anan K, Hayashi N, Aogi K, Ishida T, Masuoka H, Iijima K, Masuda S, Tsugawa K, Kinoshita T, Nakamura S, Tokuda Y. Changes in tumor expression of HER2 and hormone receptors status after neoadjuvant chemotherapy in 21 755 patients from the Japanese breast cancer registry. Ann Oncol. 2015 [Epub ahead of print]
l Okada K, Sadahiro S, Suzuki T, Tanaka A, Saito G, Masuda S, Haruki Y. The size of retrieved lymph nodes correlates with the number of retrieved lymph nodes and is an independent prognostic factor in patients with stage II colon cancer. Int J Colorectal Dis. 2015;30:1685-93.
l Tang X, Yamashita T, Hara M, Kumaki N, Tokuda Y, Masuda S. Histopathological characteristics of breast ductal carcinoma in situ and association with imaging findings. Breast Cancer. 2015. [Epub ahead of print]
l Hirano D, Ohkawa M, Hasegawa R, Okada N, Ishizuka N, Kusumi Y. Metastatic Tumor of the Spermatic Cord in Adults: A Case Report and Review. Case Rep Urol. 2015;2015:747261.
l Hayase M, Nagashima K, Kato M, Fukamachi D, Iso K, Arai M, Nakamura Y, Iwasawa Y, Nishimaki H, Kusumi Y, Okumura Y, Kunimoto S, Hirayama A. Spontaneous Remission in a Case of Giant Cell Myocarditis with Preserved Left Ventricular Ejection Fraction. Am J Case Rep. 2015;16:823-6.
l Ando Y, Inoue M, Ohno-Matsui K, Kusumi Y, Iida T, Hirakata A. MACULAR DETACHMENT ASSOCIATED WITH INTRACHOROIDAL CAVITATION IN NONPATHOLOGICAL MYOPIC EYES. Retina. 2015;35:1943-50.
l Maebayashi T, Abe K, Aizawa T, Sakaguchi M, Ishibashi N, Fukushima S, Honma T, Kusumi Y, Matsui T, Kawata N. Solitary pulmonary metastasis from prostate cancer with neuroendocrine differentiation: a case report and review of relevant cases from the literature. World J Surg Oncol. 2015;13:173.
l Iizuka M, Nakanishi Y, Fuchinoue F, Maeda T, Murakami E, Obana Y, Enomoto K, Tani M, Sakurai K, Amano S, Masuda S. Altered intracellular region of MUC1 and disrupted correlation of polarity-related molecules in breast cancer subtypes. Cancer Sci. 2015;106:307-14.
l Tsujino I, Nakanishi Y, Hiranuma H, Shimizu T, Hirotani Y, Ohni S, Ouchi Y, Takahashi N, Nemoto N, Hashimoto S. Increased phosphorylation of ERK1/2 is associated with worse chemotherapeutic outcome and a poor prognosis in advanced lung adenocarcinoma. Med Mol Morphol. 2015 Dec 24. [Epub ahead of print]
l Shoji J, Nakanishi Y, Ishimori A, Sakimoto T, Inada N, Nemoto N. Involvement of Chemokines and a CD4-Positive T Cell Subset in the Development of Conjunctival Secondary Lymphoid Follicles in an Atopic Keratoconjunctivitis Mouse Model. Int Arch Allergy Immunol. 2015;167(3):147-57.
l Maeda T, Nakanishi Y, Hirotani Y, Fuchinoue F, Enomoto K, Sakurai K, Amano S, Nemoto N. Immunohistochemical co-expression status of cytokeratin 5/6, androgen receptor, and p53 as prognostic factors of adjuvant chemotherapy for triple negative breast cancer. Med Mol Morphol. 2015 May 26. [Epub ahead of print]
l Fuchinoue F, Hirotani Y, Nakanishi Y, Yamaguchi H, Nishimaki H, Noda H, Tang XY, Iizuka M, Amano S, Sugitani M, Nemoto N, Masuda S. Overexpression of PGC1α and accumulation of p62 in apocrine carcinoma of the breast. Pathol Int. 2015 Jan;65(1):19-26.
2014
l Terada M, Niikura N, Tsuda B, Masuda S, Kumaki N, Tang X, Okamura T, Saito Y, Suzuki Y, Tokuda Y. Comparative Study of the One-step Nucleic Acid Amplification Assay and Conventional Histological Examination for the Detection of Breast Cancer Sentinel Lymph Node Metastases. Tokai J Exp Clin Med. 2014 Sep 20;39(3):122-7.
l Masuda S. Pathological examination of breast cancer biomarkers: current status in Japan. Breast Cancer. 2014 Sep 20. [Epub ahead of print]
l Kim SJ, Masuda N, Tsukamoto F, Inaji H, Akiyama F, Sonoo H, Kurebayashi J, Yoshidome K, Tsujimoto M, Takei H, Masuda S, Nakamura S, Noguchi S. The cell cycle profiling-risk score based on CDK1 and 2 predicts early recurrence in node-negative, hormone receptor-positive breast cancer treated with endocrine therapy. Cancer Lett. 2014 Dec 28;355(2):217-23.
l Shoji S, Nakano M, Tomonaga T, Kim H, Hanai K, Usui Y, Nagata Y, Miyazawa M, Sato H, Tang XY, Osamura YR, Uchida T, Terachi T, Takeya K. Value of metastin receptor immunohistochemistry in predicting metastasis after radical nephrectomy for pT1 clear cell renal cell carcinoma. Clin Exp Metastasis. 2013;30:607-14.
l Niikura N, Masuda S, Kumaki N, Xiaoyan T, Terada M, Terao M, Iwamoto T, Oshitanai R, Morioka T, Tuda B, Okamura T, Saito Y, Suzuki Y, Tokuda Y. Prognostic significance of the Ki67 scoring categories in breast cancer subgroups. Clin Breast Cancer. 2014 Oct;14(5):323-329.e3.
l Takane K, Midorikawa Y, Yamazaki S, Kajiwara T, Yoshida N, Kusumi Y, Takayama T. Gastrointestinal stromal tumor with nephrotic syndrome as a paraneoplastic syndrome: a case report. J Med Case Rep. 2014 Mar 27;8:108.
l Watanabe N, Nakanishi Y, Kinukawa N, Ohni S, Obana Y, Nakazawa A, Nemoto N. Expressions of Somatostatin Receptor Subtypes (SSTR-1, 2, 3, 4 and 5) in Neuroblastic Tumors; Special Reference to Clinicopathological Correlations with International Neuroblastoma Pathology Classification and Outcomes. Acta Histochem Cytochem. 2014;47(5):219-29.
2013
l Mikami Y, Ueno T, Yoshimura K, Tsuda H, Kuroishi M, Masuda S, Horii R, Toi M and Sasano H : Interobserver concordance of Ki67 labeling index in breast cancer: Japan Breast Cancer Research Group Ki67 Ring Study. Cancer Sci 2013;104:1539-43.
l Kochi M, Fujii M, Masuda S, Kanamori N, Mihara Y, Funada T, Tamegai H, Watanabe M, Suda H and Takayama T : Differing deregulation of HER2 in primary gastric cancer and synchronous related metastatic lymph nodes. Diagnostic Pathology 2013;8:191.
l Okamura T, Tang XY, Saito Y, Suzuki Y, Masuda S, Tokuda Y. Pleomorphic lobular carcinoma with lipid-producing activity: a report of 2 cases. Tokai J Exp Clin Med. 2013;38:103-8.
l Masuda S, Kadowaki T, Kumaki N, Tang X, Tokuda Y, Yoshimura S, Takekoshi S, Osamura RY. Analysis of gene alterations of mitochondrial DNA D-loop regions to determine breast cancer clonality. Br J Cancer. 2012 ;107:2016-23.
l Shoji S, Nakano M, Sato H, Tang XY, Osamura YR, Terachi T, Uchida T, Takeya K. The current status of tailor-made medicine with molecular biomarkers for patients with clear cell renal cell carcinoma. Clin Exp Metastasis. 201431:111-34.
l Nakanishi Y, Shimizu T, Tsujino I, Obana Y, Seki T, Fuchinoue F, Ohni S, Oinuma T, Kusumi Y, Yamada T, Takahashi N, Hashimoto S, Nemoto N. Semi-nested real-time reverse transcription polymerase chain reaction methods for the successful quantitation of cytokeratin mRNA expression levels for the subtyping of non-small-cell lung carcinoma using paraffin-embedded and microdissected lung biopsy specimens. Acta Histochem Cytochem. 2013;46:85-96.







